Uraz mózgu (TBI) to niewidzialna, lecz powszechna choroba cywilizacyjna. Rocznie ponad 27 milionów ludzi doznaje TBI – najczęściej w wyniku wypadków samochodowych, upadków lub uderzeń w głowę.
Objawy łagodnych TBI, jak ból głowy, zmęczenie, problemy z pamięcią, wahania nastroju, często są lekceważone. Aż ponad 50% przypadków pozostaje niezdiagnozowanych, co prowadzi do:
- Przewlekłego bólu
- Depresji i zaburzeń lękowych
- Problemów poznawczych
- Padaczki lub demencji
„Nawet lekki uraz głowy może mieć poważne konsekwencje, jeśli zostanie zignorowany” – ostrzega dr Dariusz Nasiek, specjalista od bólu i TBI.
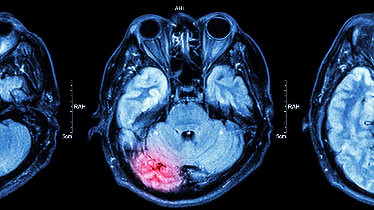
Najnowocześniejsza Diagnostyka TBI po Wypadkach
W naszej klinice w Englewood, NJ, oferujemy:
- Badania krwi na biomarkery mózgowe (GFAP, UCH-L1)
- Rezonans magnetyczny DTI (Diffusion Tensor Imaging)
- Ambulatoryjne EEG 48–72 godziny – wykrywa mikrodrgawki i zmiany fal mózgowych
Objawy, na które trzeba uważać po wypadku:
- Bóle głowy, mdłości, zawroty głowy
- Zaburzenia pamięci, dezorientacja
- Nerwowość, depresja, lęk
- Nadwrażliwość na światło lub dźwięki
- Problemy z równowagą, zamazane widzenie
Wczesna Diagnoza = Lepsze Leczenie i Szybszy Powrót do Zdrowia
U nas otrzymasz:
- Bezpłatną konsultację dla ofiar wypadków
- Bezpłatny przegląd MRI
- Badanie neurologiczne z USG w gabinecie
- Obsługę w języku polskim i hiszpańskim






